12월 4일, 다친지 14일째 되는 날.
남자친구랑 뼈가 부러진게 아니라 인대만 손상되서 넘 다행이라고 뼈에 금이라도 갔었으면 어쩌구 저쩌구 큰일 날 뻔 했다고 얘기했는데
그걸 비웃기라도 하듯 클리닉에서 전화가 왔다.
뼈에 금이 간걸 발견했으니 내일 클리닉에 다시 방문하라고.

옘병...
병원 응급실 의사도(11월 21일) 그렇고 클리닉 갔었을 때에도(11월 28일) 뼈에는 이상이 없다고 했는데
일주일이나 지나서 클리닉에서 다시 연락 오는건 뭐람??

다음날 클리닉에 가서 또 한시간 넘게 기다렸다ㅠ
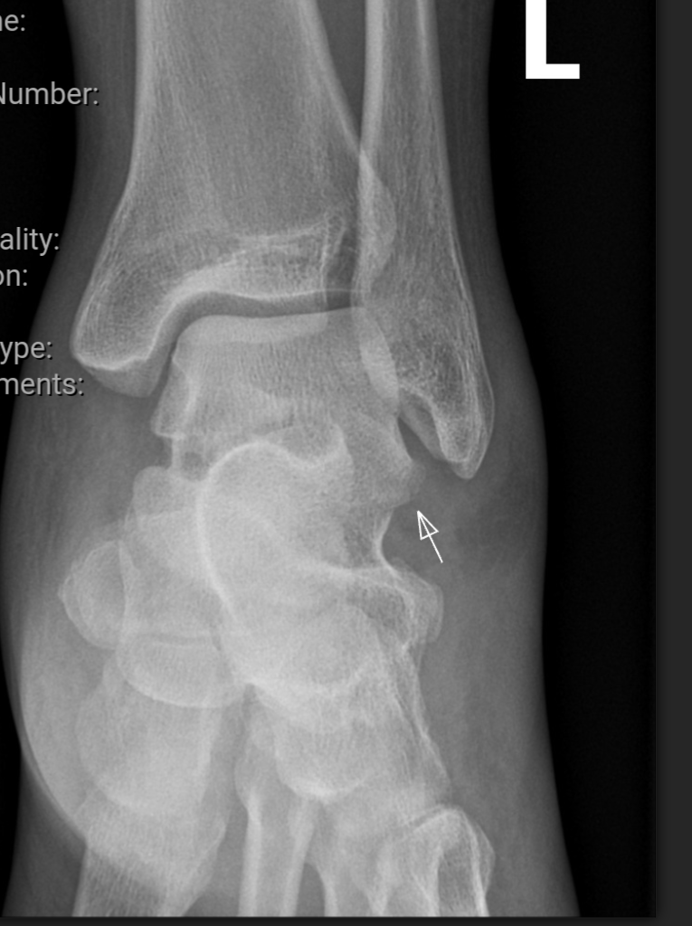
다행히 완전 쫙 부러진건 아니고 살짝 미세 골절이 있다고..
발등 위 부분에 실금이 간 Talus fractures 라고 한다.
골절이 없었다면 2주가 지난 지금은 살짝 움직일 정도가 되야 하는데 붓기도 안 빠지고 발을 땋게 딛을 수도 없는 이유가 그 때문이라고..
간김에 의사한테 MRI도 검사받고 싶다고 했는데 그건 필요가 없다고 한다.
아니 골절 있다면서요.. 그럼에도 인대는 말짱할 거라고 생각한건지🤨
한국에서 나 같이 부상 당한사람들 후기를 보면 바로 CT도 찍고 MRI도 찍고 하던데 진짜 캐나다 너...
답답스러웠음. 자기 몸 아니라고 괜찮다고 하는거야 뭐야.
예전에 심장 주위가 조이듯이 아프고 호흡곤란이 지속적으로 온적이 있어서 MRI검사 받고 싶다고 하니
심장 전문의가 한다는 말이 '너는 아직 어려서 괜찮다고 검사 안 받아도 될거라고...'
네???? kf2*&^%#^%2d 기가 차서 속으로 험한 말 했었음. 내가 우겨서 MRI검사 받았었는데
이번에도 의사한테 해달라고 우겨서 MRI 받기로 했다.

집에 돌아와서 생각해 보니 나 클리닉 왜 오라고 한거지?ㅋㅋㅋㅋ
클리닉 가서 한게 MRI 받기로 한 것 밖에 없었다. 그것도 내가 해달래서 하기로 한건데 그냥 얼굴보고
'응, 너 발등에 골절있어^^' 이 말 하려고 부른건가?

12월 19일에 의사쌤 보러 다시 오라고 했다. 이번에는 안 기다려도 되게 명함에 예약 시간 써줬다.
<MRI 검사>
클리닉 다녀온 다음 날 병원에서 전화가 와서 MRI 예약 시간을 잡았다.
다음날 올 수 있냐고.. 올~ 웬일이래? 빠른 검사 감사합니당~
(하지만 나중에 역시 기대를 저버리지 않는 일이 생기는데...🤣)
12월 7일 예약된 시간에 MRI검사를 받으로 병원에 갔다.
남자친구가 일하고 있는 시간이라 혼자 갔는데 주차장에서 병원 입구까지 거리도 멀고 입구에서 검사 받으러 가는 곳 까지는 더 멀어.....ㅠㅠ
목발로 꾸역꾸역 걷는데 패딩 입고 가서 겨땀나고 등에 땀나고 진짜 옷을 집어 던지고 싶었다!!ㅋㅋㅋ
다행히 가방을 크로스로 메고 있어서 거기에 끼고 걸었음.
휠체어 타는 것을 생각 안 해본 것은 아니다. 타려고 시도했으나 목발!!!
누누이 얘기하지만 휠체어에 목발 꽂는 곳이 없다.
한손으로 목발을 들고 한손으로 밀고 가기에는 너무나 역부족! 집에서 바퀴 달린 의자 타고 가듯이 오른발로 밀면서 갈까도 생각해 봤는데
휠체어는 의자 만큼 쉽게 굴러가지 않는다ㅠㅠ
땀 범벅 흘리며 접수를 하고 바로 검사를 받았다.

검사를 다 받은 후에 테크니션에게 결과는 어떻게 받냐고 하니까 그분도 모르신단다.ㅎㅎ
패밀리 닥터에게 전화해야 하나? 어차피 패밀리 닥터한테 전화하면 기본 2주는 기다려야 하니 19일에 클리닉 갈 때 물어 봐야겠다고 생각했다.
결과는 일주일 뒤에 나온다니 MRI 받은 날(12월 5일)부터 19일 까지는 결과 나오기 충분한 시간.
(하지만 이 글을 쓰고 있는 지금, 12월 23일까지 결과를 못 받은 상태 ㅋㅋㅋㅋ)
검사비는 전액 무료.
접수대에 나 집에 간다고 말이라도 해줘야 할 것 같지만 검사 끝나면 그냥 쿨하게 집에 가면 된다.
내가 힘들게 주차장으로 걸어가고 있으니까 어떤분이 와서 내가 도와줄까? 하신다.
역시 친절한 캐나다야^^ 라고 생각하는데
전단지를 주면서 교회 나오라고....-_- 어딜가나 그분들은ㅋㅋㅋㅋ 할렐루야다 징짜!



아직 붓기 빠지려면 멀었다. 내 발이 내 발 같지 않은 느낌.
사실 3주 차가 나에게는 제일 고비였다. 골절이 있다는 안 좋은 소식도 듣고 발은 나아질 기미가 안 보이고
처음에는 많이 쉬어봤자 2주면 괜찮아지겠지.. 라는 생각으로 버텼는데 6~8주는 되야 그나마 정상 생활 비슷하게끔 할 수 있게 된다는 후기들에 너무 아마득하게 느껴지고 우울해서 'ㄱ r 끔... 눈물을 흘렸 ㄷ ㅏ...'

지금은 이렇게 덤덤하게 글을 쓰고 있지만 그땐 정말 힘들었음 ㅠㅠ
몸에 살이 붙는 느낌이고 속도 더부룩하고 일상 생활 하는 사람들이 부럽고... 그냥 집구석에서 아무것도 안하고 우울해 하며 멍 때리면서 보냈다.


안되겠어서 남자친구랑 미술관에 가서 교오~양도 쌓고 친구들도 만나서 기분 전환도 했다.
미술관엔 전동 휠체어도 있고 아이들을 위한 작은 휠체어도 있고 걷기 힘든 사람을 위한 4~5 종류의 다양한 보조 도구가 구비되어 있었다. (무료)
역시나 목발 꽂는 곳은 없었지만 미술관 측에서 맡아줘서 편하게 관람할 수 있었다. 게다가 바닥도 휠체어 굴리게 잘 되어있어서 남친 도움을 받지 않고 내가 슝슝 밀고 다녔다.

친구들을 만나서 맛있는 것도 먹고 수다도 떠니 스트레스가 풀렸다. 울 집에 커피를 마시러 같이 들렀는데 설거지 해주겠다, 청소해주겠다 뭐든 도와주려고 해서 넘 고마웠음❣️
| 발등골절, 발목 염좌 6주차/다쳤어도 크리스마스는 온다. (2) | 2022.12.31 |
|---|---|
| 발등 골절, 발목 인대 염좌 4~5주 차/많이 좋아지고 있어! (0) | 2022.12.29 |
| 발등 골절,발목 염좌 2주 차/반깁스 후기 (2) | 2022.12.25 |
| 발등 골절, 발목 염좌 1주 차/휠체어 타고 공연 관람, 장보기 (4) | 2022.12.21 |
| 클라이밍 하다가 발등 골절, 발목염좌 된 썰 푼다/캐나다 응급실 (2) | 2022.12.19 |
댓글 영역